首页
通知
资讯
杂谈
肿瘤介入
各地单位/肿瘤专家介绍
资源区
专业委员会
病人服务
论坛
关于我们
搜索
检索标题
智能模糊
搜索
热门标签
PTCD器械准备
穿刺定位
右侧胆道穿刺技术
左侧胆道穿刺技术
返回首页
首页
>
肿瘤介入
>
消化肿瘤介入
>
胆管肿瘤
>
PTCD
>
PTCD技术
>
胆道穿刺技术
>
穿刺定位
>
PTCD:经皮穿刺皮肤穿刺点定位
时间:
2020-03-13 23:00
来源:
未知
作者:
admin
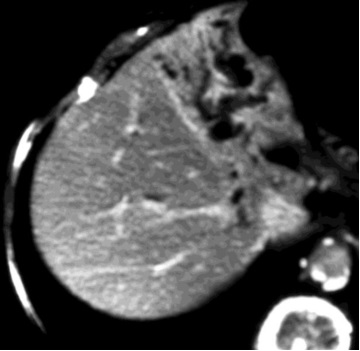
经皮定位穿刺是指经皮穿刺胆道前在皮肤标记进针穿刺点 经皮超声引导下引流 经皮CT引导下引流 经皮透视引导下引流
经皮定位穿刺是指经皮穿刺胆道前在皮肤标记进针穿刺点
’经皮超声引导下引流
经皮CT引导下引流
经皮透视引导下引流
经皮超声引导下引流
CT引导
穿刺点的选择包括皮肤穿刺点的选择和胆道进入点的选择
顶一下
(0)
0%
踩一下
(0)
0%
------分隔线----------------------------
上一篇:没有了
下一篇:没有了
打印
推荐内容
热点内容
PTCD:经皮穿刺皮肤穿刺点定位
肿瘤介入会讯
肿瘤介入快讯
药械新知
业界新闻
实体肿瘤疗效评价标准
恶性肿瘤与慢性DIC
肿瘤介入总论
头颈部肿瘤介入
五官科肿瘤
脊柱肿瘤介入
骨肿瘤介入
心脏大血管肿瘤
呼吸系统肿瘤介入
消化肿瘤介入
泌尿生殖系统肿瘤介入
血管/淋巴管肿瘤
乳腺癌的介入治疗
内分泌肿瘤
儿科肿瘤
肿瘤痛疼的介入治疗
肿瘤外科术后并发症
北京
天津
江苏
新疆
湖北
广东
肝癌介入委员会
肿瘤重症与支持治疗委员会
肝转移癌与转化治疗
分子靶向与化疗专业委员会
肿瘤介入护理专业委员会
肿瘤介入通用网站
肿瘤介入相关杂志
按系统分类网站
各地肿瘤介入网站
协会介绍
组织架构
会员名单