首页
通知
资讯
杂谈
肿瘤介入
各地单位/肿瘤专家介绍
资源区
专业委员会
病人服务
论坛
关于我们
搜索
检索标题
智能模糊
搜索
热门标签
名词和定义
PTCD的历史
PTCD适应症
PTCD禁忌症
PTCD术前准备
术前评估
PTCD技术
支架技术
PTCD术后维护
PTCD并发症防治
PTCD疗效
指南和共识
PTCD经济学
返回首页
首页
>
肿瘤介入
>
消化肿瘤介入
>
胆管肿瘤
>
PTCD
>
PTCD并发症防治
>
PTCD并发症:引流管脱出
时间:
2020-03-07 17:41
来源:
未知
作者:
admin
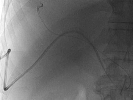
指PTCD引流管脱离胆道引流的位置 PTCD引流管脱出包括全脱出和半脱出 引流管半脱位 引流管全脱位 PTCD引流管全脱位
指PTCD引流管脱离胆道引流的位置
PTCD引流管脱出包括全脱出和半脱出
引流管半脱位
导管没有脱位,体外的引流管进入
体外引流管进入
引流管全脱位
PTCD引流管全脱位
顶一下
(0)
0%
踩一下
(0)
0%
------分隔线----------------------------
上一篇:
PTCD并发症:引流管脱出
下一篇:
BTCD并发症背景
打印
推荐内容
热点内容
PTCD并发症:引流管脱出
PTCD并发症:引流管脱出
PTCD 并发症简述
PTCD 并发症:动脉胆血瘘
PTCD 并发症:胆瘘
TPCD并发症:胆血瘘
胆汁性腹膜炎
胆血瘘/静脉出血
BTCD并发症背景
肿瘤介入会讯
肿瘤介入快讯
药械新知
业界新闻
实体肿瘤疗效评价标准
恶性肿瘤与慢性DIC
肿瘤介入总论
头颈部肿瘤介入
五官科肿瘤
脊柱肿瘤介入
骨肿瘤介入
心脏大血管肿瘤
呼吸系统肿瘤介入
消化肿瘤介入
泌尿生殖系统肿瘤介入
血管/淋巴管肿瘤
乳腺癌的介入治疗
内分泌肿瘤
儿科肿瘤
肿瘤痛疼的介入治疗
肿瘤外科术后并发症
北京
天津
江苏
新疆
湖北
广东
肝癌介入委员会
肿瘤重症与支持治疗委员会
肝转移癌与转化治疗
分子靶向与化疗专业委员会
肿瘤介入护理专业委员会
肿瘤介入通用网站
肿瘤介入相关杂志
按系统分类网站
各地肿瘤介入网站
协会介绍
组织架构
会员名单