| 从60,70年代发展起来的这一技术,差不多算是一项古老的技术,曾经被证明对生存率没有影响的技术,几十年过去了,如今它
- Is it logical?
- Is it dangerous?
- Is it effective?
Are there any study is to clarify these interrogative points(疑问点) and to develop a new treatment method for primary lung cancer.
![]()
Treatment method
Is BACE a logical method ?
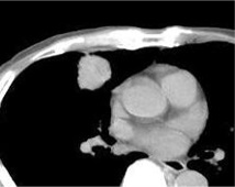
Circulation to the pulmonary lesion
Feasibility of bronchial arterial catheterization
Degree of Enhancement of the lesion on DSA and arterial infusion CT
Is it dangerous ?
Complications of bronchial chemo-infusion and embolization
Procedure related complications
Spinal arterial circulation
Is it effective ?
Treatment effects
Treatment effect was evaluated after three sessions by CT exams.
RECIST criteria was used to evaluate the treatment effect
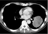
完全染色的病变(Total enhancement of the lesion)
部分染色的病变(Partial enhancement of the lesion)
Ring enhancement of the lesion
Is it logical ?
primary lung cancer in the lung field is fed by the bronchial artery. Chemo-infusion into the bronchial artery followed by the embolization is a logical treatment method.
Is it dangerous ?
There was neither procedure related complication nor chemo-agent related side effects. The spinal circulation was safely avoided by the use of the arterial infusion CT.
Is it effective ?
The local control rate in three months was 8/9 ( 89%).
Bronchial arterial chemo-embolization is a safe and effective method to control growth of pulmonary cancer with minimum complications.
尽管如此,一个治疗手段的有效性,主要是有质量的寿命年/钱
疗效的判定的包括 近期疗效的判定:客观反应率ORR 远期疗效的判定:OS COST-EFFECT | ||||||||||||||||||||||||||||||||||||||||||||||||||||||||||||






























